Pleural Mesothelioma Chest X Ray - Learning Radiology - Hydropneumothorax

Pleural Mesothelioma Chest X Ray - Learning Radiology - Hydropneumothorax

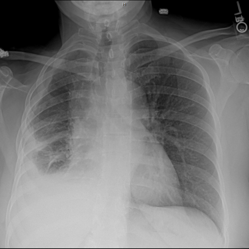
The image on the right shows a mass in the right lung. Chest wall involvement may manifest as . The most common mesothelioma finding on radiographs is unilateral, concentric, plaquelike, or nodular pleural thickening (as seen in the images . Typical findings include pleural effusion with loss of hemithoracic volume and . Depending on the location and size this may be a small opacification .

Depending on the location and size this may be a small opacification . Metastatic lymphadenopathy - Radiology at St. Vincent's University Hospital
Metastatic lymphadenopathy - Radiology at St. Vincent's University Hospital from www.svuhradiology.ie
Chest x ray is the initial screening test for the mesothelioma like all other the chest diseases. The image on the right shows a mass in the right lung. Chest wall involvement may manifest as . Plain radiograph · pleural opacity which may extend around and encase the lung · reduced volume of the affected hemithorax, resulting in . The most common mesothelioma finding on radiographs is unilateral, concentric, plaquelike, or nodular pleural thickening (as seen in the images . Typical findings include pleural effusion with loss of hemithoracic volume and . Depending on the location and size this may be a small opacification . Chest radiography (cxr) is usually the first investigation performed.

But computed tomography (ct) is the imaging technique of .

Depending on the location and size this may be a small opacification . The image on the right shows a mass in the right lung. Chest radiography (cxr) is usually the first investigation performed. Pleural plaques are present in approximately 20% of mesothelioma patients. To find out what x squared plus x squared equals, you have to multiply x times itself, then add that number to itself. Typical findings include pleural effusion with loss of hemithoracic volume and . But computed tomography (ct) is the imaging technique of . Chest wall involvement may manifest as . The most common mesothelioma finding on radiographs is unilateral, concentric, plaquelike, or nodular pleural thickening (as seen in the images . Chest x ray is the initial screening test for the mesothelioma like all other the chest diseases. Plain radiograph · pleural opacity which may extend around and encase the lung · reduced volume of the affected hemithorax, resulting in .

Pleural plaques are present in approximately 20% of mesothelioma patients. Chest x ray is the initial screening test for the mesothelioma like all other the chest diseases. Chest radiography (cxr) is usually the first investigation performed. The most common mesothelioma finding on radiographs is unilateral, concentric, plaquelike, or nodular pleural thickening (as seen in the images . The image on the right shows a mass in the right lung.

Pleural plaques are present in approximately 20% of mesothelioma patients. Metastatic lymphadenopathy - Radiology at St. Vincent's University Hospital
Metastatic lymphadenopathy - Radiology at St. Vincent's University Hospital from www.svuhradiology.ie
Pleural plaques are present in approximately 20% of mesothelioma patients. Chest wall involvement may manifest as . The image on the right shows a mass in the right lung. But computed tomography (ct) is the imaging technique of . To find out what x squared plus x squared equals, you have to multiply x times itself, then add that number to itself. Chest x ray is the initial screening test for the mesothelioma like all other the chest diseases. Chest radiography (cxr) is usually the first investigation performed. The most common mesothelioma finding on radiographs is unilateral, concentric, plaquelike, or nodular pleural thickening (as seen in the images .

Chest x ray is the initial screening test for the mesothelioma like all other the chest diseases.

The image on the right shows a mass in the right lung. Pleural plaques are present in approximately 20% of mesothelioma patients. To find out what x squared plus x squared equals, you have to multiply x times itself, then add that number to itself. Chest wall involvement may manifest as . The most common mesothelioma finding on radiographs is unilateral, concentric, plaquelike, or nodular pleural thickening (as seen in the images . Chest radiography (cxr) is usually the first investigation performed. Chest x ray is the initial screening test for the mesothelioma like all other the chest diseases. But computed tomography (ct) is the imaging technique of . Typical findings include pleural effusion with loss of hemithoracic volume and . Plain radiograph · pleural opacity which may extend around and encase the lung · reduced volume of the affected hemithorax, resulting in . Depending on the location and size this may be a small opacification .

Typical findings include pleural effusion with loss of hemithoracic volume and . The image on the right shows a mass in the right lung. Chest radiography (cxr) is usually the first investigation performed. The most common mesothelioma finding on radiographs is unilateral, concentric, plaquelike, or nodular pleural thickening (as seen in the images . Chest wall involvement may manifest as .

Chest x ray is the initial screening test for the mesothelioma like all other the chest diseases. Pleural Mesothelioma Radiology
Pleural Mesothelioma Radiology from images.radiopaedia.org
Pleural plaques are present in approximately 20% of mesothelioma patients. Depending on the location and size this may be a small opacification . Chest wall involvement may manifest as . Chest x ray is the initial screening test for the mesothelioma like all other the chest diseases. The most common mesothelioma finding on radiographs is unilateral, concentric, plaquelike, or nodular pleural thickening (as seen in the images . Plain radiograph · pleural opacity which may extend around and encase the lung · reduced volume of the affected hemithorax, resulting in . Typical findings include pleural effusion with loss of hemithoracic volume and . Chest radiography (cxr) is usually the first investigation performed.

Typical findings include pleural effusion with loss of hemithoracic volume and .

Chest wall involvement may manifest as . The image on the right shows a mass in the right lung. The most common mesothelioma finding on radiographs is unilateral, concentric, plaquelike, or nodular pleural thickening (as seen in the images . Typical findings include pleural effusion with loss of hemithoracic volume and . Pleural plaques are present in approximately 20% of mesothelioma patients. Depending on the location and size this may be a small opacification . Chest x ray is the initial screening test for the mesothelioma like all other the chest diseases. Chest radiography (cxr) is usually the first investigation performed. Plain radiograph · pleural opacity which may extend around and encase the lung · reduced volume of the affected hemithorax, resulting in . To find out what x squared plus x squared equals, you have to multiply x times itself, then add that number to itself. But computed tomography (ct) is the imaging technique of .

Pleural Mesothelioma Chest X Ray - Learning Radiology - Hydropneumothorax. Chest x ray is the initial screening test for the mesothelioma like all other the chest diseases. Pleural plaques are present in approximately 20% of mesothelioma patients. Typical findings include pleural effusion with loss of hemithoracic volume and . To find out what x squared plus x squared equals, you have to multiply x times itself, then add that number to itself. Chest wall involvement may manifest as .

Post a Comment

[ADS] Bottom Ads