Mesothelioma On Chest X Ray / Localized Benign Pleural Mesothelioma - More images for mesothelioma on chest x ray »

Mesothelioma On Chest X Ray / Localized Benign Pleural Mesothelioma - More images for mesothelioma on chest x ray »

Mesothelioma On Chest X Ray / Localized Benign Pleural Mesothelioma - More images for mesothelioma on chest x ray ». Mesothelioma can result in breathing difficulties, chest pain, and fever. The appearance can overlap with many other conditions. We'll deliver the guide overnight and free of charge. These finding will often prompt further testing with a chest ct. Feb 27, 2020 · people diagnosed with mesothelioma have aggressive cancer that is caused by asbestos exposure.

Mesothelioma is a rare type of cancer. The appearance can overlap with many other conditions. This excess fluid is called pleural effusion, a common symptom of pleural mesothelioma. Doctors may also use one or more other imaging tests to make a diagnosis. It typically develops in the thin membrane that separates the lung from the chest wall, called the pleura.

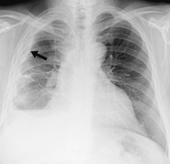
Case Report Steroid Responsive Mesothelioma Related Pleural Effusion Sciencedirect
Case Report Steroid Responsive Mesothelioma Related Pleural Effusion Sciencedirect from ars.els-cdn.com
We'll deliver the guide overnight and free of charge. Doctors may also use one or more other imaging tests to make a diagnosis. Feb 27, 2020 · people diagnosed with mesothelioma have aggressive cancer that is caused by asbestos exposure. When a mesothelioma tumor is present on the membrane of the lungs, it may appear as an abnormally white area. Our free guide includes information on legal compensation, treatment options, and more. Lung nodules and hilar masses usually result from direct mesothelioma tumor extension into the lung parenchyma and mediastinal structures, such as lymph nodes, the pericardium, and the heart. It can also arise, less commonly, along the abdominal cavity inner (or peritoneal) lining. The diagnosis can be suggested when we see opacities or masses around the pleura, rib destruction, pleural effusion or fluid around the lung, and big lymph nodes.

It can also arise, less commonly, along the abdominal cavity inner (or peritoneal) lining.

We'll deliver the guide overnight and free of charge. This cancer is incurable, but patients who are diagnosed early have a much greater life expectancy. Our free guide includes information on legal compensation, treatment options, and more. These finding will often prompt further testing with a chest ct. Benign tumors of the pleura. The appearance can overlap with many other conditions. We'll deliver the guide overnight and free of charge. Our free guide includes information on legal compensation, treatment options, and more. Doctors may also use one or more other imaging tests to make a diagnosis. Mesothelioma is a rare type of cancer. Lung nodules and hilar masses usually result from direct mesothelioma tumor extension into the lung parenchyma and mediastinal structures, such as lymph nodes, the pericardium, and the heart. This ability enables the medical professional to observe whether or not the mesothelioma tumor has metastasized and spread to other areas outside of the pleural cavity. When a mesothelioma tumor is present on the membrane of the lungs, it may appear as an abnormally white area.

Our free guide includes information on legal compensation, treatment options, and more. These finding will often prompt further testing with a chest ct. We'll deliver the guide overnight and free of charge. Doctors may also use one or more other imaging tests to make a diagnosis. Mesothelioma can result in breathing difficulties, chest pain, and fever.

Ring Complaints As A Rare First Symptom Of Malignant Pleural Mesothelioma Thoracic Key
Ring Complaints As A Rare First Symptom Of Malignant Pleural Mesothelioma Thoracic Key from thoracickey.com
The appearance can overlap with many other conditions. When a mesothelioma tumor is present on the membrane of the lungs, it may appear as an abnormally white area. Benign tumors of the pleura. These finding will often prompt further testing with a chest ct. Mesothelioma can result in breathing difficulties, chest pain, and fever. More images for mesothelioma on chest x ray » We'll deliver the guide overnight and free of charge. This excess fluid is called pleural effusion, a common symptom of pleural mesothelioma.

We'll deliver the guide overnight and free of charge.

More images for mesothelioma on chest x ray » Doctors may also use one or more other imaging tests to make a diagnosis. This cancer is incurable, but patients who are diagnosed early have a much greater life expectancy. What are the types of radiology used to diagnose mesothelioma? We'll deliver the guide overnight and free of charge. When a mesothelioma tumor is present on the membrane of the lungs, it may appear as an abnormally white area. Mesothelioma is a rare type of cancer. Mesothelioma can result in breathing difficulties, chest pain, and fever. We'll deliver the guide overnight and free of charge. The diagnosis can be suggested when we see opacities or masses around the pleura, rib destruction, pleural effusion or fluid around the lung, and big lymph nodes. Our free guide includes information on legal compensation, treatment options, and more. Lung nodules and hilar masses usually result from direct mesothelioma tumor extension into the lung parenchyma and mediastinal structures, such as lymph nodes, the pericardium, and the heart. Feb 27, 2020 · people diagnosed with mesothelioma have aggressive cancer that is caused by asbestos exposure.

Doctors may also use one or more other imaging tests to make a diagnosis. More images for mesothelioma on chest x ray » Our free guide includes information on legal compensation, treatment options, and more. Feb 27, 2020 · people diagnosed with mesothelioma have aggressive cancer that is caused by asbestos exposure. Mesothelioma can result in breathing difficulties, chest pain, and fever.

Diagnostic Imaging And Workup Of Malignant Pleural Mesothelioma
Diagnostic Imaging And Workup Of Malignant Pleural Mesothelioma from www.openaccessjournals.com
These finding will often prompt further testing with a chest ct. Feb 27, 2020 · people diagnosed with mesothelioma have aggressive cancer that is caused by asbestos exposure. The diagnosis can be suggested when we see opacities or masses around the pleura, rib destruction, pleural effusion or fluid around the lung, and big lymph nodes. Mesothelioma is a rare type of cancer. More images for mesothelioma on chest x ray » What does a chest x ray reveal? This ability enables the medical professional to observe whether or not the mesothelioma tumor has metastasized and spread to other areas outside of the pleural cavity. We'll deliver the guide overnight and free of charge.

This cancer is incurable, but patients who are diagnosed early have a much greater life expectancy.

These finding will often prompt further testing with a chest ct. This ability enables the medical professional to observe whether or not the mesothelioma tumor has metastasized and spread to other areas outside of the pleural cavity. Feb 27, 2020 · people diagnosed with mesothelioma have aggressive cancer that is caused by asbestos exposure. Mesothelioma can result in breathing difficulties, chest pain, and fever. It typically develops in the thin membrane that separates the lung from the chest wall, called the pleura. We'll deliver the guide overnight and free of charge. This excess fluid is called pleural effusion, a common symptom of pleural mesothelioma. The appearance can overlap with many other conditions. When a mesothelioma tumor is present on the membrane of the lungs, it may appear as an abnormally white area. Mesothelioma is a rare type of cancer. It can also arise, less commonly, along the abdominal cavity inner (or peritoneal) lining. Doctors may also use one or more other imaging tests to make a diagnosis. Benign tumors of the pleura.

Post a Comment

[ADS] Bottom Ads